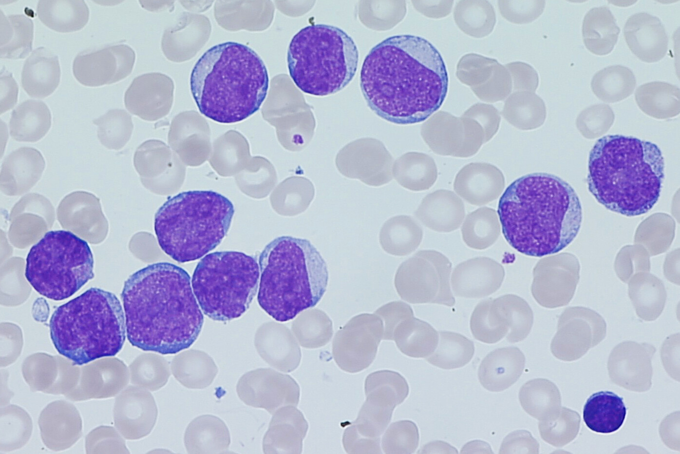
Überschwemmt vom Blutkrebs: Ausstrich einer Knochenmarksprobe; Bei der Akut Myeloischen Leukämie (AML) vermehrt sich ein Vorläufertyp der weißen Blutkörperchen (Myeloblasten, dunkel eingefärbt) übermäßig und verdrängt andere Blutzell-Typen (transparent). Durch die neuartige Therapie wird diese Zell-Vermehrung gestoppt. © Universitätsklinikum Freiburg




